Dentures
Looking for dentures? Take advantage of the advances in dentistry that give modern dentures a better fit and a more natural look.
At Southern Dental Implant Center, our expertise and technology make poor-fitting dentures a relic of the past.
Discover how our dentists, serving Memphis, TN, and the Mid-South area, can restore confidence with removable or implant-supported dentures.

Explore Your Choices for Missing Teeth
Our dentist in Memphis, TN, offers multiple denture options for patients in Memphis and the Mid-South Area.

Traditional Dentures
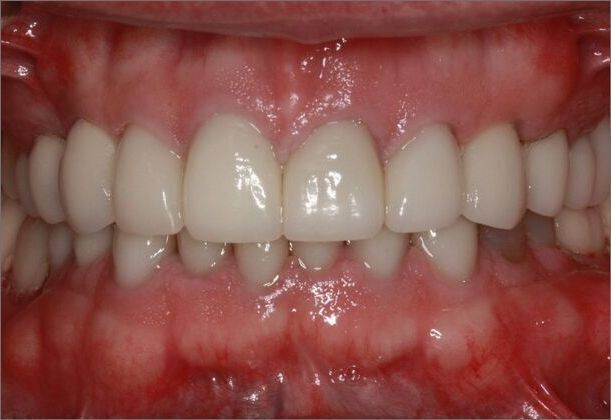
Traditional dentures are removable. They are made with a gum-colored base and artificial teeth crafted to look like natural teeth. The dentures simply rest on your gums and are held in place with suction and a dental adhesive, if needed. Southern Dental Implant Center uses advanced technology to ensure a comfortable, precise fit for your dentures. Our attention to detail can give you a smile you are happy to share and a functional bite that will allow you to eat with confidence.

Implant-Supported Dentures
Implant-supported dentures are the closest thing to having your natural teeth back. Unlike traditional dentures that you remove every night, implant-supported dentures stay in your mouth and can be cared for with brushing and flossing, just like your own teeth. They are held in place by dental implants, which are small titanium or zirconia posts placed in the jaw. The denture is then securely attached to the posts, eliminating any chance that they will slide or fall out.

Partial Dentures
If you aren't missing all your teeth, partial dentures might be the right choice for you. Compared with complete dentures, which restore a full arch of teeth, partial dentures can replace one or more teeth in each row. Our custom-tailored partial dentures usually include gum-colored bases and are held in place by clips that attach to neighboring natural teeth. Another option is to use dental implants to replace missing teeth throughout the mouth. Implants can support a crown (for a single tooth) or a dental bridge for spots where more than one tooth is missing.
Traditional Dentures vs. Implant-Supported Dentures
While today's traditional dentures offer a secure fit and are more affordable, many patients value the conveniences and long-term health benefits that implant-supported dentures offer.
Healthier Jawbone
Unlike traditional dentures, which accelerate bone loss, implant-supported dentures encourage your body to replenish the bone in your jaw and keep it strong.
A More Secure Denture
Implant-supported dentures will never embarrass you by slipping or falling out while chewing or speaking. They also offer a stronger bite than removable dentures.
Greater Comfort
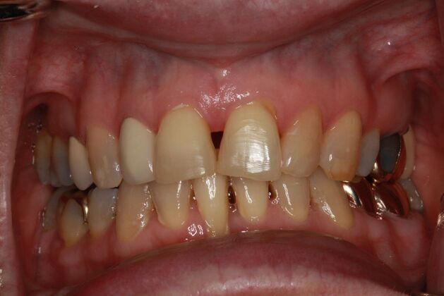
As your jawbone deteriorates and recedes, your traditional dentures will no longer fit correctly. That will cause them to rub against your gums and cause pain.
Fewer Repairs
Traditional dentures will need to be repeatedly relined or replaced, but the reason isn't just because of wear and tear on your dentures. Without the stimulation of a tooth root or dental implant, the bone in your jaw will shrink and your denture will simply no longer fit the new shape of your jaw.Overdentures for Added Security
Overdentures, also known as snap-in or snap-out dentures, are a trusted type of implant-supported denture and can be a great solution for the right patients. If you're missing all your teeth on the upper or lower arch, or both, and you want a dependable, secure fit for your denture, ask us about overdentures!
Have Questions About Dentures?
Take advantage of free consultations at our Memphis-area office. Learn about the benefits of modern denture materials and techniques, as well as how we use the latest technology to ensure beautiful, comfortable results. Rest assured, we have a dental solution for you.
Get started by filling out our online form, or call our Cordova office to request your free consultation today.
(901) 756-0078
"Excellent service. Everyone at Southern Implant was very kind and professional. Thank you to Dr. Collier..." Gharib Khan, 2024
A Closer Look at Dental Implants The Most Stable Support for Dentures
Do You Lack the Bone Density for Implants?
You Have Options at Our Practice
Do you want the security that implant-supported dentures offer but have been told that you lack the bone density needed to support a full denture?
You may have another option for restoring your smile. The All-on-4® method is a newer implant technique that uses just four implant posts and requires less bone density to qualify as a candidate. Here at Southern Dental Implant Center, we have our own unique brand of implants called Smile XZ.
The dentists at Southern Dental Implant Center near Memphis have advanced training in this revolutionary technique and can determine if it's right for you.

Put Your Trust in a Highly Trained Team Request a Free Consultation
Whether you are just now considering dentures or looking to upgrade your current dentures, we understand that choosing a dentist who you can trust is a significant part of the process. The highly trained dentists at Southern Dental Implant Center near Memphis, TN, are known for delivering the finest treatments using state-of-the-art technology and a personal touch.
- Dr. Jason S. Collier is a board-certified Associate Fellow of the American Academy of Implant Dentistry. He is also a proud member of the International Congress of Oral Implantologists.
- We know that picking the right dentist for you is a very personal choice. That's why we offer free consultations so you can meet our dentists one-on-one to see if we are a good fit for your needs. Whether you need a routine cleaning or complete dentures, we can deliver what you need. Leave us a message or call for a consultation:
901-756-0078
Serving Memphis and the Mid-South Area
"You should check this team of professionals out." Glowing Reviews for Our Practice Near Memphis, TN
Dr. Collier and his staff were the most pleasant professionals that I’ve come across in a long time. It’s nice to know that there’s actually great professionals in the dentistry industry. I can’t wait till Dr. Collier and his colleagues work what I’d call an overdue makeover on my smile. It was a pleasure to get to know that I’ll be in the hands of someone that I think is a caring and beautiful person, not only on the outside, but I feel a vibe that he’s an all around guy. Kudos to Dr. Jason Collier and his staff. I’m telling you guys , you should check this team of professionals out!!
View on GoogleI absolutely love Southern Dental! I had a very bad experience at Memphis Dentures and Implants in Lakeland. I also had a horrible experience at Affordable Dentures and Implants in Arlington. These 2 dental practices are a scam! What they did almost killed me mentally! If you’re planning on getting implants or cosmetic dental work….this is the place to go! Dr.Collier and his staff are very professional and extremely kind!! Dr. Collier and his staff absolutely saved my life! I truly love them all!
View on GoogleConcerned About Costs?
Missing teeth can impact your quality of life. We do not want financial barriers to prevent patients from getting their smiles back. Here is how we make denture treatment more accessible at our Memphis, TN, dental practice.
Financing
Our practice accepts CareCredit®, Cherry, and Proceed Finance, which allows patients to finance the cost of their treatment in no or low-interest monthly payments.
Denture Candidacy
Have Significant Tooth Loss
Full dentures are best for patients missing most or all of their natural teeth; partial dentures can be a good option for those missing several teeth on an arch. If you are only missing one or two teeth, other options such as an implant-supported crown or bridge may be a better solution.
Have Sufficient Jawbone
Patients with jawbone deterioration may require preparatory bone grafting in order to qualify for implant-supported dentures. During your consultation at our Memphis, TN, practice, your dentist will determine if you have sufficient bone material for your chosen style of denture.
Are in Good Oral Health
Patients must be free from tooth decay and gum disease before treatment begins. This ensures a healthy foundation for your partial or complete dentures. Fortunately, patients can qualify for dentures once these common concerns are treated.
Do Not Use Tobacco Products
Tobacco use has been linked to numerous overall and oral health problems. It can also increase the risk of implant failure should you need dental implants, and can cause staining and yellowing of any remaining teeth. We always recommend you cease using all tobacco products to keep your smile healthy and beautiful.
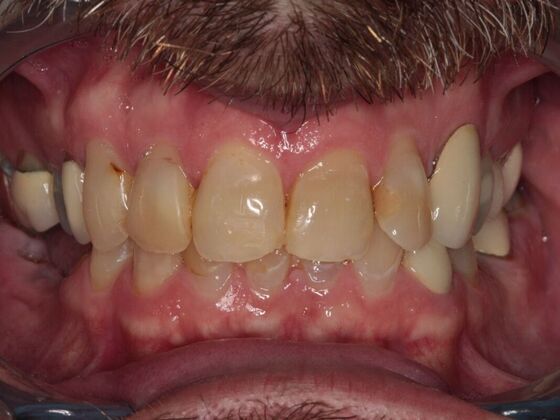
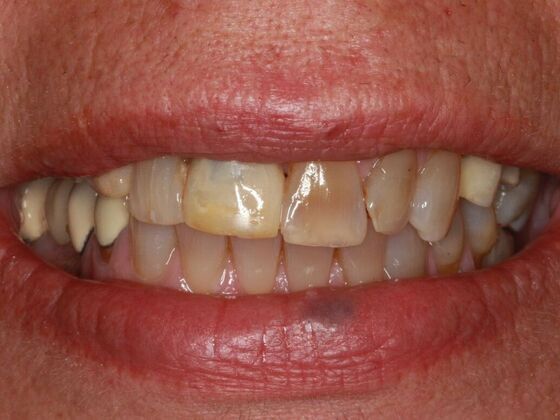
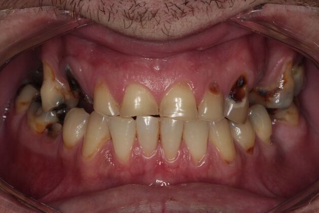
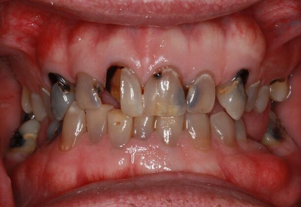
The Dentures Crafting Process How We Create Custom Dentures at Our Memphis Practice
Steps
Don't let missing teeth dictate your life. Restore your smile and confidence with dentures.
"I would recommend them to everyone..." More Excellent Reviews for Our Practice
Very pleasant place to visit, everyone there is very nice and friendly, giving you the best opportunity for best look for your smile..
View on GoogleThe visit was a good and informative one I would recommend them to everyone that is looking to improve their smile.
View on Google
Nervous About the Thought of Oral Surgery?
We Have Sedation Options to Keep You Comfortable
Even if you've determined that implants are the right treatment for your needs and lifestyle, you may still feel hesitant about moving forward because you find the thought of implant surgery intimidating. But there's nothing to fear at Southern Dental Implant Center. We offer oral conscious and IV sedation, both of which can deeply relax you and help you make it through your procedure without worry.
To explore how sedation can fit into your treatment plan, request a no-obligation consultation today. Our understanding dentists will listen to your concerns, answer any questions you may have, and help you choose the sedation option that will work best to alleviate your anxiety.
Are You Hesitant to Take the First Step? We Can Guide You Through the Process – Contact Us Today
Deciding on dentures for the first time is a big step. If your remaining teeth are in good condition, we might recommend bridges or dental implants to replace missing teeth and restore your oral health. But if you've reached the point where dentures are a better option, we can help you make the transition and regain confidence in your smile.
You can talk to our dentists at length about dentures during a consultation, or you can call our Cordova office at:
901-756-0078

"Dr. Collier and his staff are super friendly." Read What Our Happy Patients Have to Say
Had my free consult yesterday and it went well. The Dr Collier and his staff are super friendly.
View on GoogleBeen patient here for 14 years now. Thank you Dr. Collier and staff for clean, welcoming, calm office for regular dental care.
View on GoogleDenture Maintenance
Avoid using normal toothbrushes, toothpaste, and hot water on dentures; they can damage or warp the material.
Soak your dentures in warm water or a dedicated cleaning solution each night, and then rinse them in the morning before putting them back in.
When removing or cleaning your dentures, have a towel or other soft material ready to cushion their fall if you drop them.
Brush your remaining teeth, gums, and tongue at least twice a day to keep them healthy and prevent bacteria buildup.
Ask our dentists which cleaning solutions and adhesives are compatible with your specific type of dentures.
Another 5-Star Review
"Staff are wonderful, friendly and helpful. Dr. Collier is professional, personable & answers all my questions."
Carla Andrews, 2024


















