
Dental Crowns
See How a Crown Is Placed
Crowns help protect the tooth's structure, including the roots and base. While an injury or root canal infection may compromise the function and aesthetics of your tooth, a crown can help restore it and prevent the need for extraction.
Dental Crowns Provide a Wealth of Benefits
Durability
Our crowns are crafted from durable dental materials such as IPS e.max®, empress, zirconia, and porcelain. Designed to withstand tremendous force from biting and chewing, crowns can last a decade or more with proper care.
Restored Oral Health
If left untreated, a weakened or badly decayed tooth may need to be extracted. Our Cordova dentist uses dental crowns to give a tooth a second chance at life by protecting it against further damage.
Natural-Looking Results
Are you concerned your crown won't look natural? Our dentist ensures results that seamlessly blend in with the rest of your smile. Dental porcelain has a natural translucency that mimics real enamel.
Can Crowns Benefit You? Find Out With a Consultation
Dental crowns are an excellent way to improve your oral health and the look of your smile. If you have an injured tooth or need to restore your tooth after a root canal infection, a dental crown can help you reclaim your smile.
Getting a crown now can reduce your chances of needing a tooth extraction and dental implant later. While Dr. Jason Collier is highly experienced in placing dental implants, he understands that the process is arduous and more expensive than a crown. He will always try to save the structure of your tooth with a well-made crown before resorting to implants. If you need a crown and are looking for an accomplished dentist in Memphis and the Mid-South area, contact us with our form or give our Cordova office a call:

"I would recommend this office."
The staff was absolute pleasant and professional. Also the dr., was very informative about the procedures and the next step. And he took the time to listen to my concerns. I would recommend this office to family and friends.
View on GoogleI have used the Southern Dental Implant Center for dental care for many years. They always provide professional services and are always prompt to their appointment times. I highly recommend them.
View on GoogleWe Can Achieve Dramatic Transformations
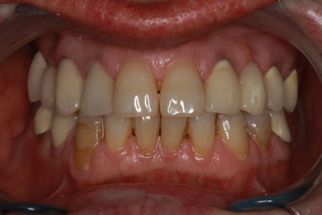
Dental crowns can be combined with veneers, dental implants, and other treatments to help patients achieve their best smile yet. A temporary bridge was removed for this patient, and the empty gap was restored with implant-supported crowns. To even out her smile and perfect her bite, crowns and veneers were put on top of existing healthy teeth that were crooked or discolored.
Which Dental Issues Can Crowns Address?
Tooth Decay
In some instances, a cavity may be too large for a filling. A dental crown protects the tooth and seals it off from bacteria in the mouth to prevent decay from worsening.Missing Tooth
Implant-supported crowns are a trusted and reliable restorative solution for replacing a missing tooth and filling in the gaps. Dental implants prevent the jawbone from weakening as a result of the natural tooth loss process.Root Canal
After receiving a root canal, a tooth is weakened and may require a dental crown. A porcelain crown provides an extra layer of reinforcement and restores the strength and functionality of the tooth.Cosmetic Imperfections
Crowns are typically used in restorative dentistry, but they can also address cosmetic issues. A porcelain crown can adjust the size of a tooth that is too big or small or conceal discoloration that doesn't respond to whitening.Dentistry With a Personalized Touch Request Your Consultation Today
Are you in need of a dental crown? We invite you to request a consultation with our dentist so we can conduct a thorough evaluation and learn more about your needs. Whether you are interested in a crown made of porcelain, zirconia, or another durable material, we ensure a stress-free and seamless process thanks to our years of experience and friendly demeanor.
To get started, fill out our online form and a member of our team will be in touch. You can also call our Cordova, TN, dental practice serving Memphis and the Mid-South area, at:
(901) 756-0078

Thankful Reviews From Memphis Patients
I had a great experience at this office. The staff was pleasant, courtesy, informative and professional. Dr. Colliers is the best . He explained things to you where you can understand what he is saying. He takes time with you so if you have questions he is there to answer them. He is far most the best dentist I have ever been to. They make you feel comfortable and at home. Great environment.
View on GoogleThe doctor and staff are very courteous and considerate. They care about their customers and what your concerns are. Every procedure has been thoroughly explained. They were performed professionally and safely. We have been pleased.
View on Google"The most amazing staff." 5-Star Reviews From Our Patients in Memphis and the Mid-South Area
The most amazing staff I've ever had the pleasure of meeting. Thank you Southern Dental Implant. I've told all my friends about your wonderful services
View on GoogleVery informative of the process and understanding of my fears around dental work. I left the office feeling like I will be in good hands when I get the work done.
View on GoogleLet Our Memphis Office Find the Perfect Crown for You Call Us Today
Based on your needs and aesthetic preferences, Southern Dental Implant Center can fashion the perfect dental crown for your smile. Our trusted dental lab can design Empress® crowns, IPS e.max® crowns, zirconia crowns, and other styles of crowns while you wear a protective temporary crown.
No matter what style of dental crown you choose, our dentist serving Memphis, TN, will make sure it compliments your smile and protects your natural tooth. If you're missing a tooth, ask about implant-supported dental crowns.
Contact our practice or call us at:
(901) 756-0078

The Dental Crowns Treatment Process
The dental crown process can be completed in just two visits to our Cordova, TN, office and involves wearing a temporary crown in between.
Aftercare
Practice Good Oral Hygiene
After your porcelain crown or another style of crown is placed, you should continue brushing twice daily and flossing at least once a day to prevent tooth decay and gum disease.Be Gentle With Your Teeth
While crowns are made of strong materials, they can still crack and break with enough force. Grinding your teeth or chewing on hard objects like ice can cause additional strain on your teeth and wear down your crown.Attend Regular Checkups
Crowns strengthen your teeth, but they cannot prevent other issues like gum disease or infected teeth. Attending regular checkups and cleanings at the dentist's office will help you maintain good long-term oral health.Ask About Sedation Dentistry Ii You're Nervous About Treatment

Oral Sedation
This sedation method involves taking a sedative in pill form about an hour before your appointment. You will feel drowsy by the time you arrive at our office, so you will need someone to drive you to and from your appointment. Our team will monitor you during your procedure to ensure you remain safe and comfortable.

IV Sedation
Sedative medication is administered directly into the bloodstream, allowing it to work quickly. IV sedation causes a deeper state of relaxation, leaving you with no memory of your treatment. Your vital signs will be monitored throughout your procedure and your dosage will be adjusted to maximize your comfort and safety.
"They make me feel like family every time I go."
The team at Southern Dental Implant is great. Friendly reception when I arrive and wonderful experience with my 4 month cleaning. They make me feel like family every time I go. And clean and sparkling teeth make me feel like I can present myself very well to all the people I meet everyday. Great Job!!!
View on GoogleI live in Hong Kong and I travel twice year to Southern Dental Implants just to get my teeth cleaned and any other dental work that needs to be done. Their staff are warm, friendly and above all professional. I wouldn’t go anywhere else.
View on GoogleWhat Affects the Cost of a Dental Crown?
The cost of a dental crown depends on several factors, such as which tooth is being treated and which crown material was selected. For example, a crown on your back molar will typically cost more due to the size. Our team is transparent about all costs and can provide an accurate estimate after evaluating your tooth at our Cordova, TN, office.
Southern Dental Implant Center offers financing to help make treatment more affordable. We understand that the need for a crown can come at unexpected times and can be challenging to budget for. Our dental team in Memphis is happy to discuss your financing options with you to set you on a journey to optimal oral health.








