
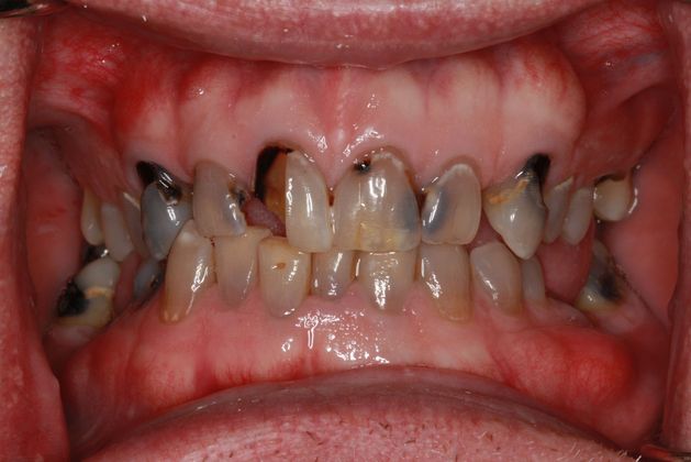
Full Mouth Reconstruction

Request a Free Consultation
Southern Dental Implant Center is the premier destination for restorative dentistry in Memphis and the Mid-South area. If you or someone in your family is in need of extensive dental care, we invite you to request a free consultation at our office in Cordova, TN.
During a free consultation with our dentist in Memphis, TN, Dr. Collier can examine your teeth, gums, and jaw to determine what restorative treatments will be best for you. He will take the time to answer all of your questions and explain the timeline for your care in detail.
To request your free consultation, contact us online or give us a call:
(901) 756-0078
5-Star Reviews From Memphis Patients
Very efficient and professional. Was taken in at my designated appointment time and services were provided efficiently and professionally. Would recommend Southern Dental Implant Center to others.
View On GoogleExcellent facility . The staff was very attentive and ask if they could get me something to drink while I waited . Dr. Collier was very knowledgeable to my dental needs and explain the procedures to correct my dental problem at an affordable price. I would highly recommend Southern Dental Implant Center for all your dental needs.
View on GoogleSatisfying Office Experiences and Gratifying Results
Hear from Dr. Collier and some of our Memphis-area patients about what makes Southern Dental Implant Center so special. If you are in need of a full mouth reconstruction, choose an implant dentist who can produce excellent results while treating you with kindness and compassion.
What Does a Full Mouth Reconstruction Involve?
A full mouth reconstruction incorporates multiple dental treatments in one streamlined plan to rehabilitate your smile as efficiently and effectively as possible. Your unique treatment plan may involve:
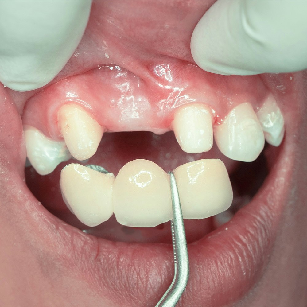
Dental Implants and Smile ZX
Dental implants are prosthetic tooth roots that attach to the jawbone and support dental restorations like crowns, bridges, or dentures. When your restoration is attached to an implant, you will be able to eat, smile, and speak with complete confidence. Unlike other dental practices, Southern Dental Implant Center offers complete implant care under one roof with our own product, Smile XZ. Dr. Collier can place your implants in your jaw and design a lifelike restoration without referring you elsewhere.
Dental Crowns
A dental crown is a tooth-shaped cap that covers a compromised tooth to protect it. Crowns are most often used after root canal therapy, but they can also be used to cover teeth that have been broken, chipped, or decayed. Additionally, a crown can attach to a dental implant to replace a single missing tooth. At our practice in Cordova, TN, we use crowns that look just like natural teeth.
Dental Bridges
If you don't want to use a dental implant to replace a missing tooth, you may consider a traditional dental bridge. A typical bridge is a prosthetic tooth attached to two dental crowns. The crowns cover the teeth on either side of the gap in your smile, and the prosthetic fills the gap. Implant-supported bridges are also available to replace two or more consecutive teeth.
Dentures
Many of our patients from Memphis and the Mid-South area require dentures. At our office in Cordova, TN, we design dentures that fit precisely and look just like natural teeth. Whenever possible, we prefer to attach dentures directly to the jaw with dental implants. We also offer the groundbreaking All-on-4® method, in which a full denture is supported by only four implants. Ask our office for more information about our Smile ZX and Overdenture Options!
Periodontal Care
Many patients in need of a full mouth reconstruction have some degree of gum disease. Left untreated, gum disease can lead to tooth loss and other severe consequences. The first step of many full mouth reconstructions is periodontal therapy to restore the health and strength of the gums.
Root Canal Therapy
When a tooth becomes infected, root canal therapy is usually the best solution to remove the infected tissue and prevent harmful bacteria from spreading to other areas of the body. Root canal procedures are not as painful as many people think. In fact, thanks to modern anesthesia and sedation techniques, root canals can be as comfortable as any other dental procedure. We offer root canal treatment at our office near Memphis, TN.
Sedation Dentistry
Many patients who require extensive dental care are in that position because they have some level of dental anxiety. Dr. Collier welcomes nervous patients, and he makes them feel calm and relaxed through sedation dentistry. We offer multiple forms of sedation that enable you to sit comfortably while our dentist treats your teeth, gums, or jaw.
Let's Start Planning Your Full Mouth Reconstruction Get In Touch with Our Cordova Practice
Dr. Collier is a leader in dentistry who has been recognized as having undergone more continuing education than any other doctor in the state of Tennessee. This degree of dental education allows him to meet almost any need at his office. Whether your full mouth reconstruction calls for a root canal, treatment for gum disease, dental implants, or all three, your care can be handled in one location when you choose the Southern Dental Implant Center.
Let's start deciding which combination of treatments will restore the oral health, comfort, and satisfaction you deserve. Send our Cordova, TN, practice a message online to request a consultation, or call us today:

Memphis Recommends Dr. Collier
I had a great experience at this office. The staff was pleasant, courtesy, informative and professional. Dr. Colliers is the best . He explained things to you where you can understand what he is saying. He takes time with you so if you have questions he is there to answer them. He is far most the best dentist I have ever been to. They make you feel comfortable and at home. Great environment.
View on GoogleI was fearful of the dentist until I arrived at this office. They are all very professional and do a wonderful job of squelching my fears. My mouth is finally going to be something I'm proud of and I'm beginning to smile again.
View on GoogleWill Insurance Cover a Full Mouth Reconstruction?
Although implants can be incredibly beneficial to patients who are missing teeth, dental implant costs are not covered by basic dental insurance. If any of the treatments you need or want to include in your full mouth reconstruction are not covered by insurance, we can coordinate financing through CareCredit, Cherry, or Proceed Finance.
Once you have discussed your treatment options with Dr. Collier in Cordova and received a personalized estimate for your cost of care, our staff will be glad to discuss payment options and help you achieve the best possible reimbursement from your dental insurance provider.
Do You Also Want a Cosmetic Upgrade? We Can Include Veneers and More In Your Treatment Plan
By incorporating cosmetic dentistry solutions like teeth whitening and veneers into your full mouth reconstruction, you could enter a thrilling new phase of confidence in your life. Since form follows function, you can expect that your full mouth reconstruction alone will make your smile look better than before. But with a few simple cosmetic flourishes, you may find yourself with results that give you the self-esteem to transform your professional and personal life for the better.
Whatever you envision, our Cordova practice is here to help realize it!

Patients Love Our Cordova Office
Been patient here for 14 years now. Thank you Dr. Collier and staff for clean, welcoming, calm office for regular dental care.
View on GoogleFantastic dental Facility. Dr Collier and Savannah make the worst part of the year a breeze.
View on Google











